Genuine Dentistry is now Rockwall Dental Associates! We’re thrilled to welcome Dr. Cornell to our team and look forward to serving you from two great locations.

Clear Aligners

FAQ


How long do clear aligners take?
Treatment time with clear aligners varies based on the complexity of tooth movement, but the average duration for adults is about 18 months. With excellent patient compliance—wearing aligners at least 22 hours per day—some cases may achieve results faster than with traditional braces.
How do clear aligners compare to traditional braces?
Clear aligners and traditional braces both move teeth by applying controlled pressure, but clear aligners use a pushing force with removable trays, while braces use wires and brackets to pull teeth into place. Aligners are nearly invisible and removable but may not be as effective as braces for complex bite or severe alignment issues.
Who is a good candidate for clear aligners?
Most people with healthy gums and teeth are good candidates for clear aligners. However, those with active gum disease or large, untreated cavities must address those issues first. Clear aligners effectively correct crowding, gaps, rotated teeth, and mild bite problems, but severe jaw misalignment may require traditional braces.

What Are Clear Aligners?

Clear aligners are transparent, removable orthodontic devices used to straighten teeth. Made from nearly invisible plastic, they gradually shift teeth into proper alignment under the guidance of a dentist or orthodontist. Clear aligners offer a discreet alternative to traditional braces.

The underlying mechanism of orthodontic tooth movement involves changes in the bone surrounding each tooth. We can activate the cells involved in the changes needed to move teeth by putting pressure on the teeth. With traditional metal braces, the wires connect to the fixed brackets and exert a pulling force on the teeth. Aligners differ slightly in that they cover over the teeth and exert a pushing force. While the method is slightly different, the underlying mechanism of tooth movement is the same, which is why dentists and orthodontists can achieve great results with aligners.

Your dentist sends an exact replica of your teeth (from either a detailed mold or a 3D intraoral scan) to Align Technologies and then works with a certified orthodontic lab technician on your virtual treatment plan. Using advanced software, your dentist and the technician design the exact tooth movements, prescribing them into the virtual treatment. Once your dentist approves the final digital result, the technician manufactures a series of clear aligners using CAD/CAM technology.

How Do Clear Aligners Work?

Each aligner places a precise amount of pressure at a specific angle to achieve minor tooth movements in increments of fractions of a millimeter. These minor movements combine over the full series of aligners to achieve the comprehensive repositioning of your teeth, resulting in a beautiful smile!

Who Is a Candidate for Clear Aligners?

One absolute requirement for safe tooth movement is a healthy foundation of the supporting structures of the teeth, called the periodontal tissues. This includes the bone, ligaments, and gum tissues surrounding each tooth. People with active gum disease are not candidates for orthodontic treatment with clear aligners. They can become candidates after restoring periodontal health through dental treatment.

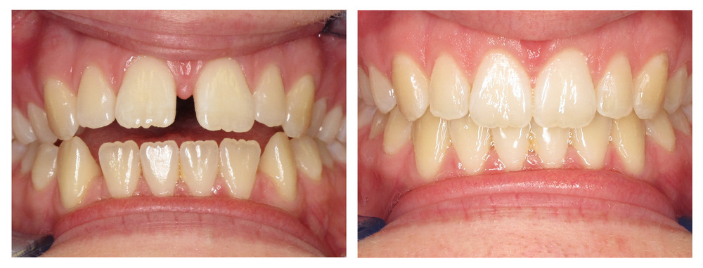
Comparison image of teeth before and after invisalign

People with large, untreated cavities are also not candidates for clear aligners. In general, before moving any teeth, your dentist should confirm you have no active disease or infection in your mouth.

Once a healthy foundation is achieved, clear aligners are a great option for most in need of straighter teeth. More than just a cosmetic treatment, straight teeth aid in your ability to maintain your oral health. Eliminating crowding makes it easier to brush and floss, thus decreasing your likelihood of plaque buildup and gum disease. Correcting your bite with clear aligners will not just provide you a more beautiful smile, but a healthier, longer-lasting smile.

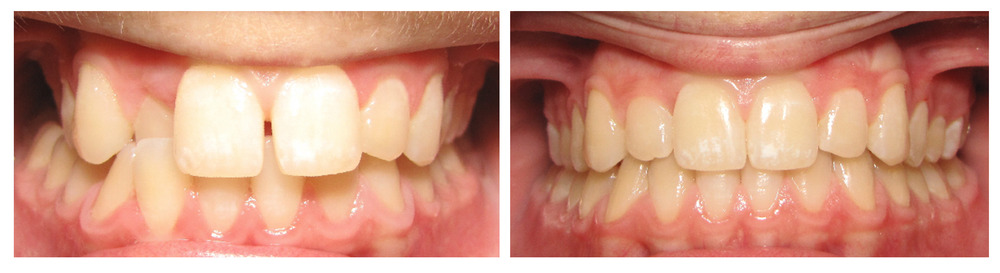
Comparison image of teeth before and after invisalign

Clear aligners are successful in correcting many common smile problems, including crowding (crookedness), spacing (gaps between the teeth), and crossbites (an improper overlap of the upper and lower teeth). With clear aligners, your dentist can make many of the same alignment corrections that he or she can make with traditional braces. Clear aligners are successful at repositioning rotated and overlapped teeth and closing most gaps.

Because each aligner creates a minor amount of tooth movement, more severe cases may require more aligners, thus lengthening the time of treatment.

In general, clear aligners not as successful as traditional braces in correcting bite problems involving misalignment of the upper and lower jaws. Your dentist may also be able to correct cases of severe crowding and spacing more successfully with traditional braces over clear aligners. A detailed evaluation of your current tooth position is necessary to determine whether clear aligners are the best option for you, as some specific movements can respond better to traditional braces than aligners.

How Will My Daily Life Change with Clear Aligners?

Aligners may be virtually invisible, but they will require significant involvement on the patient’s part. Clear aligners are unique in that one of its major advantages, being removable, is also a major disadvantage. Because the patient can remove them, he or she is responsible for much of the success of treatment.

Here are some important factors to consider regarding treatment with clear aligners.

Wear Aligners for a Minimum of 22 Hours per Day

In order to achieve successful tooth movements, the aligners must remain on the teeth for a minimum of 22 hours per day. This allows time for removal to eat, drink beverages other than water, and clean your teeth properly.

Before placing aligners back onto the teeth after meals, it’s important to remove food debris and plaque in order to keep your teeth as healthy as possible. This means more brushing and flossing throughout the day.

While wearing the aligners, you should only drink plain water. Other beverages can seep beneath the aligners and cause cavities on the teeth. Dark beverages can also stain the aligners, making your teeth appear yellow or dingy.

Consistent Follow-Up Visits with the Dentist

Throughout your clear aligner treatment, you need to see your dentist consistently so he or she can monitor your tooth movement and intercept any potential problems. In most cases, these visits will occur every six weeks, or more frequently if there is a particular issue. These follow-ups consist of a quick evaluation of the teeth and the fit of the current aligners. If no issues arise, a typical appointment lasts about 15 minutes.

How Long Will Treatment Take?

The length of any orthodontic treatment depends on how much tooth movement is necessary to produce the desired results. The average length of time required for full adult orthodontic treatment with clear aligners is 18 months. Due to clear aligners unique ability to segment, or separate, tooth movement around the dental arch, your dentist can accomplish some smile corrections more quickly with clear aligners than traditional braces. So with great patient compliance (remember, you have to wear the aligners 22 hours per day), in some cases you could achieve your smile goals faster with clear aligners!

All orthodontic treatment requires retention, so your dentist will work with you to determine which type of retainers will help you maintain your beautiful new smile.

Our team has delivered outstanding dental care in Rockwall for over 15 years. We are committed to providing our community with safe, gentle, high-quality dental care.

Questions or Concerns?

Should you have any questions or concerns regarding your dental care, we are more than happy to discuss how you can achieve a beautiful and healthy smile.

As a top dentist in Rockwall, we have helped hundreds of families achieve their oral health goals and are eager to help you and your family do the same.